What Is Molar Tooth Sign . Find out how to diagnose. joubert syndrome is a condition that causes the molar tooth sign, a combination of brain abnormalities near the back of the brain. learn about the signs and complications of impacted wisdom teeth, the third molars that don't have enough room to emerge or develop in the mouth. learn about the different causes of molar tooth pain, such as cavities, abscesses, impacted wisdom teeth, and sinus infections. learn about the function, types, and eruption of molars, the flat teeth in the back of the mouth used for grinding food. learn about the common causes of molar tooth pain, such as cavities, gum disease, infections, and sinusitis. learn everything you need to know about molar teeth, the large, flat teeth at the back of your mouth that crush and chew food.
from www.pinterest.com
learn about the different causes of molar tooth pain, such as cavities, abscesses, impacted wisdom teeth, and sinus infections. learn about the function, types, and eruption of molars, the flat teeth in the back of the mouth used for grinding food. learn everything you need to know about molar teeth, the large, flat teeth at the back of your mouth that crush and chew food. Find out how to diagnose. learn about the common causes of molar tooth pain, such as cavities, gum disease, infections, and sinusitis. joubert syndrome is a condition that causes the molar tooth sign, a combination of brain abnormalities near the back of the brain. learn about the signs and complications of impacted wisdom teeth, the third molars that don't have enough room to emerge or develop in the mouth.
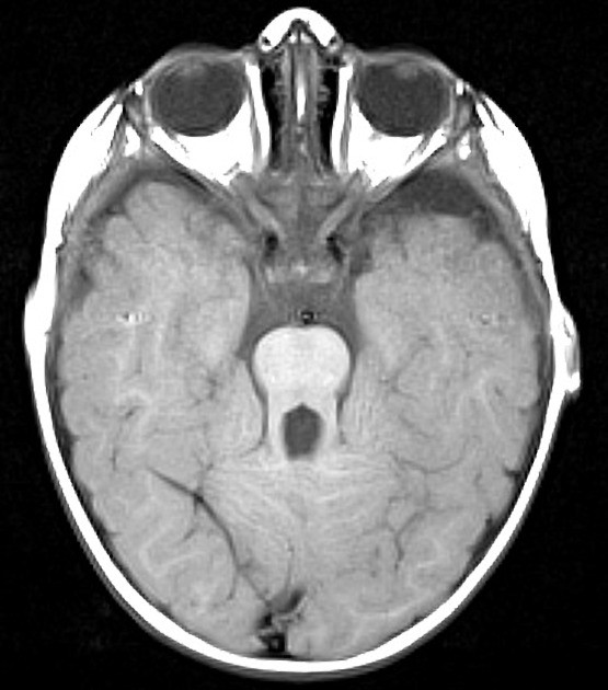
.Molar tooth sign Joubert syndromeis an autosomal recessive disorder characterized by abnormal
What Is Molar Tooth Sign learn about the function, types, and eruption of molars, the flat teeth in the back of the mouth used for grinding food. learn about the common causes of molar tooth pain, such as cavities, gum disease, infections, and sinusitis. learn about the different causes of molar tooth pain, such as cavities, abscesses, impacted wisdom teeth, and sinus infections. learn about the signs and complications of impacted wisdom teeth, the third molars that don't have enough room to emerge or develop in the mouth. learn everything you need to know about molar teeth, the large, flat teeth at the back of your mouth that crush and chew food. Find out how to diagnose. learn about the function, types, and eruption of molars, the flat teeth in the back of the mouth used for grinding food. joubert syndrome is a condition that causes the molar tooth sign, a combination of brain abnormalities near the back of the brain.
From jamilian.net
What is a molar teeth? Dr Jamilian What Is Molar Tooth Sign learn about the different causes of molar tooth pain, such as cavities, abscesses, impacted wisdom teeth, and sinus infections. joubert syndrome is a condition that causes the molar tooth sign, a combination of brain abnormalities near the back of the brain. Find out how to diagnose. learn about the signs and complications of impacted wisdom teeth, the. What Is Molar Tooth Sign.
From www.dreamstime.com
Molar Tooth Icon Vector Sign and Symbol Isolated on White Background, Molar Tooth Logo Concept What Is Molar Tooth Sign learn about the common causes of molar tooth pain, such as cavities, gum disease, infections, and sinusitis. learn about the function, types, and eruption of molars, the flat teeth in the back of the mouth used for grinding food. Find out how to diagnose. learn about the different causes of molar tooth pain, such as cavities, abscesses,. What Is Molar Tooth Sign.
From www.dreamstime.com
Teeth Numbers Oral Cavity Scheme Stock Vector Illustration of dentist, hygiene 169888154 What Is Molar Tooth Sign learn about the different causes of molar tooth pain, such as cavities, abscesses, impacted wisdom teeth, and sinus infections. learn about the common causes of molar tooth pain, such as cavities, gum disease, infections, and sinusitis. Find out how to diagnose. learn about the signs and complications of impacted wisdom teeth, the third molars that don't have. What Is Molar Tooth Sign.
From www.pinterest.com
.Molar tooth sign Joubert syndromeis an autosomal recessive disorder characterized by abnormal What Is Molar Tooth Sign Find out how to diagnose. learn about the different causes of molar tooth pain, such as cavities, abscesses, impacted wisdom teeth, and sinus infections. learn about the signs and complications of impacted wisdom teeth, the third molars that don't have enough room to emerge or develop in the mouth. joubert syndrome is a condition that causes the. What Is Molar Tooth Sign.
From www.slideserve.com
PPT Prenatal diagnosis for Joubert syndrome Challenges and Possibilities PowerPoint What Is Molar Tooth Sign learn about the signs and complications of impacted wisdom teeth, the third molars that don't have enough room to emerge or develop in the mouth. joubert syndrome is a condition that causes the molar tooth sign, a combination of brain abnormalities near the back of the brain. learn about the function, types, and eruption of molars, the. What Is Molar Tooth Sign.
From slideplayer.com
CONGENITAL MALFORMATIONS OF BRAIN AND SKULL PART1 ppt download What Is Molar Tooth Sign joubert syndrome is a condition that causes the molar tooth sign, a combination of brain abnormalities near the back of the brain. learn about the signs and complications of impacted wisdom teeth, the third molars that don't have enough room to emerge or develop in the mouth. learn about the function, types, and eruption of molars, the. What Is Molar Tooth Sign.
From www.researchgate.net
Abb. 3 8 "Molar tooth sign" im (MRT) als... Download Scientific Diagram What Is Molar Tooth Sign learn about the common causes of molar tooth pain, such as cavities, gum disease, infections, and sinusitis. joubert syndrome is a condition that causes the molar tooth sign, a combination of brain abnormalities near the back of the brain. learn about the signs and complications of impacted wisdom teeth, the third molars that don't have enough room. What Is Molar Tooth Sign.
From www.pinterest.com
Pin page What Is Molar Tooth Sign learn about the signs and complications of impacted wisdom teeth, the third molars that don't have enough room to emerge or develop in the mouth. learn about the function, types, and eruption of molars, the flat teeth in the back of the mouth used for grinding food. learn everything you need to know about molar teeth, the. What Is Molar Tooth Sign.
From www.researchgate.net
Case 1 cranial MRI showing "molar tooth sign" (arrows), which is a... Download Scientific Diagram What Is Molar Tooth Sign Find out how to diagnose. learn about the common causes of molar tooth pain, such as cavities, gum disease, infections, and sinusitis. learn about the signs and complications of impacted wisdom teeth, the third molars that don't have enough room to emerge or develop in the mouth. joubert syndrome is a condition that causes the molar tooth. What Is Molar Tooth Sign.
From genotipia.com
molar sign tooth Genotipia What Is Molar Tooth Sign learn about the signs and complications of impacted wisdom teeth, the third molars that don't have enough room to emerge or develop in the mouth. learn about the different causes of molar tooth pain, such as cavities, abscesses, impacted wisdom teeth, and sinus infections. learn about the common causes of molar tooth pain, such as cavities, gum. What Is Molar Tooth Sign.
From www.researchgate.net
Molar tooth sign (arrow) in axial RMI images, for a patient with... Download Scientific Diagram What Is Molar Tooth Sign learn about the common causes of molar tooth pain, such as cavities, gum disease, infections, and sinusitis. learn about the different causes of molar tooth pain, such as cavities, abscesses, impacted wisdom teeth, and sinus infections. learn about the function, types, and eruption of molars, the flat teeth in the back of the mouth used for grinding. What Is Molar Tooth Sign.
From ar.inspiredpencil.com
Molar Tooth Anatomy What Is Molar Tooth Sign learn about the signs and complications of impacted wisdom teeth, the third molars that don't have enough room to emerge or develop in the mouth. learn about the different causes of molar tooth pain, such as cavities, abscesses, impacted wisdom teeth, and sinus infections. joubert syndrome is a condition that causes the molar tooth sign, a combination. What Is Molar Tooth Sign.
From www.slideshare.net
Upper First Molar What Is Molar Tooth Sign learn about the signs and complications of impacted wisdom teeth, the third molars that don't have enough room to emerge or develop in the mouth. learn everything you need to know about molar teeth, the large, flat teeth at the back of your mouth that crush and chew food. Find out how to diagnose. learn about the. What Is Molar Tooth Sign.
From pacs.de
molar tooth sign pacs What Is Molar Tooth Sign learn everything you need to know about molar teeth, the large, flat teeth at the back of your mouth that crush and chew food. joubert syndrome is a condition that causes the molar tooth sign, a combination of brain abnormalities near the back of the brain. learn about the different causes of molar tooth pain, such as. What Is Molar Tooth Sign.
From radiopaedia.org
Molar tooth sign (CNS) Radiology Reference Article What Is Molar Tooth Sign learn everything you need to know about molar teeth, the large, flat teeth at the back of your mouth that crush and chew food. joubert syndrome is a condition that causes the molar tooth sign, a combination of brain abnormalities near the back of the brain. learn about the common causes of molar tooth pain, such as. What Is Molar Tooth Sign.
From jamilian.net
What is a molar teeth? Dr Jamilian What Is Molar Tooth Sign learn everything you need to know about molar teeth, the large, flat teeth at the back of your mouth that crush and chew food. Find out how to diagnose. learn about the different causes of molar tooth pain, such as cavities, abscesses, impacted wisdom teeth, and sinus infections. joubert syndrome is a condition that causes the molar. What Is Molar Tooth Sign.
From obgyn.onlinelibrary.wiley.com
Sonographic ‘molar tooth’ sign in the diagnosis of Joubert syndrome Pugash 2011 Ultrasound What Is Molar Tooth Sign Find out how to diagnose. joubert syndrome is a condition that causes the molar tooth sign, a combination of brain abnormalities near the back of the brain. learn about the common causes of molar tooth pain, such as cavities, gum disease, infections, and sinusitis. learn about the signs and complications of impacted wisdom teeth, the third molars. What Is Molar Tooth Sign.
From www.researchgate.net
Molar tooth sign, abnormal posterior interpeduncular fossa, superior... Download Scientific What Is Molar Tooth Sign learn about the function, types, and eruption of molars, the flat teeth in the back of the mouth used for grinding food. joubert syndrome is a condition that causes the molar tooth sign, a combination of brain abnormalities near the back of the brain. learn about the common causes of molar tooth pain, such as cavities, gum. What Is Molar Tooth Sign.